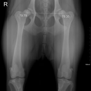
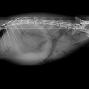
El diagnóstico por imagen es una herramienta fundamental en la medicina veterinaria moderna, ya que permite evaluar de forma precisa y no invasiva las estructuras internas del paciente. A través de técnicas avanzadas como la radiografía digital y la ecografía, es posible identificar alteraciones anatómicas y funcionales que facilitan un diagnóstico temprano y un manejo clínico más eficaz.
Nuestro servicio en Mastervet está orientado a ofrecer estudios de alta calidad, con equipos actualizados y protocolos adaptados a cada caso. Realizamos evaluaciones completas que incluyen la interpretación detallada de las imágenes y la emisión de informes clínicos claros, contribuyendo a la toma de decisiones terapéuticas.
Trabajamos en estrecha colaboración con veterinarios clínicos para asegurar una correcta correlación entre los hallazgos de imagen y la situación clínica del paciente, optimizando así el abordaje diagnóstico y el seguimiento evolutivo.








